Retainers / Plates
Retention
Retention is a very important part of orthodontic treatment, which is often overlooked by the patient. Teeth will always have a tendency to move, regardless of whether orthodontic treatment has been completed.
At the end of active orthodontic treatment, you will be given retainers to wear. These retainers will hold the teeth in position.
Over the next 2-3 years, after the braces have been removed, you will continue to have appointments with your orthodontist, so the stability of your teeth can continue to be monitored.
Initially, the retainers will need to be worn full time for 3 months and after this period of time, if there has been no movement of the teeth, they can be worn during night time only.
The removal of third molars (wisdom teeth) does not influence the stability of teeth.
ESSIX RETAINER
HAWLEY RETAINER
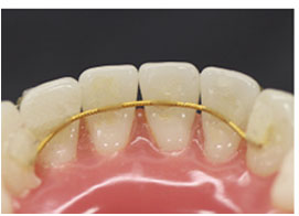
Lower Fixed Retainer
Lower anterior teeth have a higher tendency to crowd with age whether or not there has been orthodontic treatment. To ensure the retention of these a wire will be bonded to the inside of the lower front six teeth. This wire is a lot less bulky than traditional removable retainers and is not visible to other people. The wire will be there for an indefinite period of time and may need maintenance in the future. However, if after the initial two year retention phase, the patient wishes to have it removed, this can be done and a removable retainer can be constructed for future long term wear.
To maintain the health of your gums and teeth, please ensure you have a regular scale and clean with your general dentist.



